Đinh Thị Phương Hoài, Phạm Nguyễn Lộc Duy, Phan Lê Hùng, Lê Trọng Hiếu, Trần Đức Hoàng, Nguyễn Vĩnh Lạc, Nguyễn Thanh Minh
1. Giới thiệu
Sa sút trí tuệ là một trong những vấn đề sức khỏe đáng quan tâm nhất ở người cao tuổi. Tuy nhiên, không phải tất cả các trường hợp sa sút trí tuệ đều do thoái hóa não không hồi phục (như Alzheimer).
Một trong những nguyên nhân có thể điều trị được là giãn não thất áp lực bình thường (Normal Pressure Hydrocephalus – NPH).
Đây là bệnh lý mà não thất giãn to do ứ đọng dịch não tủy, nhưng áp lực dịch não tủy đo được lại bình thường. NPH tiến triển âm thầm, dễ nhầm với các bệnh thoái hóa khác, nên việc phát hiện sớm và điều trị đúng có thể giúp người bệnh phục hồi đáng kể trí nhớ, khả năng vận động và sinh hoạt.

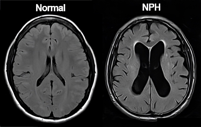
Hình 1. Hình ảnh MRI mặt phẳng cắt ngang với hình ảnh não thất bình thường (A) và não thất giãn lớn (B)
2. Những dấu hiệu đặc trưng
NPH thường gặp ở người trên 60 tuổi, và có ba triệu chứng điển hình – được gọi là “bộ ba kinh điển” (Hakim’s triad):
2.1. Rối loạn dáng đi (gait disturbance) – biểu hiện sớm nhất:
Bước đi ngắn, chậm, cảm giác “chân dính xuống sàn”.
Khó bắt đầu đi, nhưng khi nằm hoặc ngồi lại cử động bình thường.
Dễ ngã, mất thăng bằng.
2.2. Suy giảm trí nhớ (dementia-like symptoms):
Giảm khả năng tập trung, trí nhớ ngắn hạn.
Giao tiếp chậm chạp, phản ứng kém, có thể bị chẩn đoán nhầm với Alzheimer.
2.3. Tiểu không kiểm soát (urinary incontinence):
Ban đầu chỉ tiểu gấp, sau đó tiểu són, tiểu không tự chủ.
Thường xuất hiện sau khi rối loạn dáng đi và giảm trí nhớ.
Khi người bệnh xuất hiện ít nhất 2 trong 3 triệu chứng trên, đặc biệt là rối loạn dáng đi kèm giảm trí nhớ, cần nghĩ đến khả năng NPH.


Hình 2. Tam chứng Hakim ở bênh nhân giãn não thất áp lực bình thường (NPH) với rối loạn dáng đi, tiểu không tự chủ, sa sút trí tuệ (A) và mô phỏng não thất giãn với áp lực bình thường ở bênh nhân lớn tuổi (B).
3. Nguyên nhân và cơ chế bệnh sinh
NPH có thể chia làm hai dạng:
- NPH nguyên phát (idiopathic NPH – iNPH): không rõ nguyên nhân, thường gặp nhất ở người già.
- NPH thứ phát: sau chấn thương sọ não, viêm màng não, xuất huyết dưới nhện hoặc phẫu thuật sọ não.
Bệnh xảy ra khi sự hấp thu dịch não tủy tại khoang dưới nhện bị rối loạn, gây ứ đọng trong não thất, làm giãn hệ thống não thất và chèn ép các cấu trúc quanh não thất – đặc biệt là sợi thần kinh vùng trán và thể chai liên quan đến điều hòa vận động và nhận thức.
4. Chẩn đoán – làm sao để phát hiện sớm?
4.1. Lâm sàng
Dựa vào bộ ba triệu chứng kinh điển.
Đánh giá thang điểm gait score, cognitive test (MMSE, MoCA), đánh giá tiểu tiện.
4.2. Cận lâm sàng
Chụp MRI não: cho thấy giãn não thất không tương xứng với độ teo não, đặc biệt chỉ số Evans > 0,3.
Dấu hiệu đặc trưng trên MRI:
- Giãn sừng trán não thất bên.
- Giảm khoảng cách rãnh cuộn não vùng đỉnh – đỉnh chẩm.
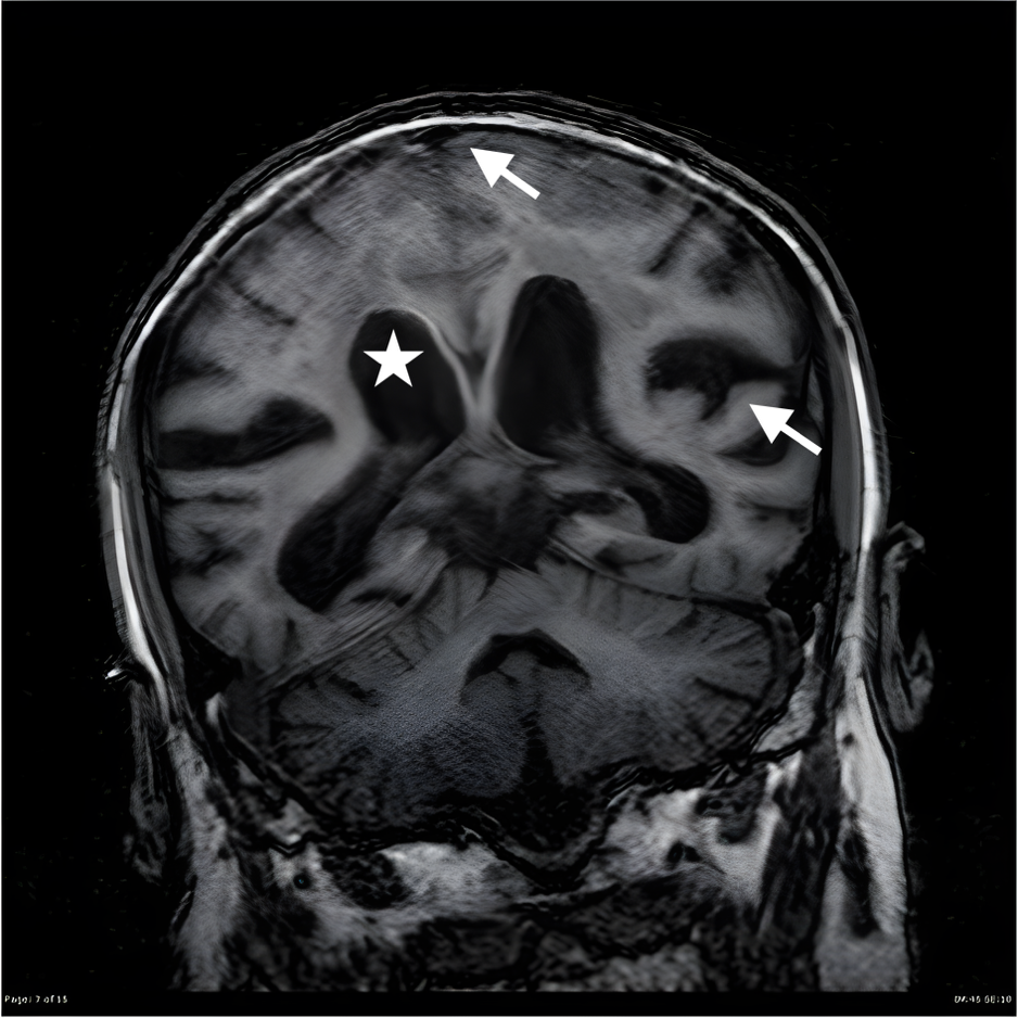
- Dấu hiệu DESH (Disproportionately Enlarged Subarachnoid Space Hydrocephalus) – một đặc điểm gợi ý mạnh cho NPH.

Hình 3. Dấu hiệu DESH trên MRI sọ não đặc trưng cho biểu hiện giãn não thất áp lực bình thường với giãn não thất (ngôi sao), rãnh vỏ não vùng đỉnh bị xẹp, rãnh Sylvius giãn (dấu mũi tên)
- Test dẫn lưu dịch não tủy (CSF tap test): rút bớt 30–50 ml dịch não tủy qua chọc dò thắt lưng và quan sát cải thiện lâm sàng trong 24–72 giờ.
+ Nếu bệnh nhân đi lại nhanh hơn, tỉnh táo hơn → tiên lượng tốt khi phẫu thuật dẫn lưu.
5. Điều trị – có thể phục hồi
Điều trị hiệu quả nhất là phẫu thuật dẫn lưu dịch não tủy (shunt), thường là:
- VP shunt (Ventriculoperitoneal shunt): dẫn lưu từ não thất xuống ổ bụng.
- VA shunt (Ventriculoatrial shunt): dẫn lưu từ não thất về tĩnh mạch cảnh hoặc nhĩ phải.
Sau mổ, 70–80% bệnh nhân có cải thiện rõ:
- Dáng đi phục hồi đầu tiên.
- Trí nhớ và kiểm soát tiểu tiện cải thiện dần sau vài tuần đến vài tháng.
Lưu ý:
- Cần theo dõi biến chứng: nhiễm trùng shunt, tắc ống, tụ máu dưới màng cứng, quá dẫn lưu.
- Một số trường hợp cao tuổi hoặc có bệnh nền cần cân nhắc lợi ích – nguy cơ khi mổ.
6. Lời khuyên dành cho cộng đồng
- Phát hiện sớm là chìa khóa quan trọng nhất. Nếu người thân lớn tuổi có biểu hiện đi lại chậm, hay quên, tiểu không tự chủ, hãy đưa đi khám chuyên khoa Ngoại Thần kinh hoặc Thần kinh học để được tầm soát.
- MRI não là công cụ hữu ích giúp phân biệt NPH với các nguyên nhân sa sút trí tuệ khác.
- Bệnh hoàn toàn có thể cải thiện nếu được chẩn đoán và điều trị kịp thời.
7. Tài liệu tham khảo
Relkin N, Marmarou A, Klinge P, et al. Diagnosing idiopathic normal-pressure hydrocephalus. Neurosurgery. 2005;57(3 Suppl):S4–S16.
Mori E, et al. Guidelines for management of idiopathic normal pressure hydrocephalus: Second edition. Neurol Med Chir (Tokyo). 2021;61(2):63–97.
Greenberg MS. Handbook of Neurosurgery, 10th ed. Thieme, 2022.
Kazui H, et al. Clinical practice guidelines for iNPH, update 2023. Journal of Neurology.
Bệnh viện Trường Đại học Y Dược Huế – Khoa Ngoại Thần kinh, hồ sơ ca lâm sàng NPH 2024–2025.
8. Thông điệp từ bác sĩ
“Sa sút trí tuệ do giãn não thất áp lực bình thường là bệnh lý có thể điều trị được nếu được nhận diện sớm.
Việc thăm khám định kỳ, chụp MRI khi có dấu hiệu bất thường và can thiệp kịp thời có thể giúp người bệnh lấy lại khả năng đi lại, sinh hoạt và chất lượng cuộc sống.”
— BS. Đinh Thị Phương Hoài – Khoa Ngoại Thần kinh, Bệnh viện Trường Đại học Y Dược Huế
-------
Thông tin liên hệ
Khoa Ngoại Thần Kinh – Bệnh viện Trường Đại học Y Dược Huế
- Điện thoại: Phòng Cấp cứu - 0234 3837777
- Địa chỉ: 41-51 Nguyễn Huệ, TP. Huế
-Website: www.bvydhue.vn


