Khoa Ngoại Chấn thương Chỉnh hình - Lồng ngực, Bệnh viện Trường Đại học Y-Dược Huế vừa phẫu thuật thành công một trường hợp ung thư da tế bào vảy (Squamous Cell Carcinoma) giai đoạn muộn, xâm lấn sâu vào cấu trúc xương – một tổn thương có nguy cơ rất cao theo phân loại NCCN 2024.
Bệnh nhân: Nam, 76 tuổi, nhập viện với khối tổn thương da sùi loét tại vị trí 1/3 giữa cẳng chân phải.Chẩn đoán: Qua thăm khám và các xét nghiệm hình ảnh, bệnh nhân được xác định mắc ung thư da tế bào vảy, khối u đã phá hủy lớp da và xâm lấn trực tiếp vào mô xương chày kế cận. Đây là tình trạng nguy hiểm, đe dọa chức năng chi và tính mạng người bệnh nếu không xử lý triệt để.
Ca mổ thực hiện với Trưởng kíp Tạo hình vi phẫu TS. BS Lê Hồng Phúc, cùng ê kíp GMHS và GPB để cắt rộng khối u, kiểm soát bờ an toàn và tái tạo bảo tồn chi , bao gồm 2 thì chính:
- Thì cắt bỏ ung thư (Phẫu thuật triệt căn):
Các phẫu thuật viên đã tiến hành cắt bỏ nguyên khối (En-bloc resection) toàn bộ tổn thương bao gồm da và đoạn xương chày bị xâm lấn để đảm bảo lấy bỏ hoàn toàn tế bào ung thư.
Điểm đặc biệt: Để đảm bảo an toàn tối đa, ê-kíp đã thực hiện lấy 6 mẫu bệnh phẩm từ 6 vị trí ranh giới xung quanh khối u để làm sinh thiết lạnh tức thì (Frozen section) ngay trong mổ. Kết quả tất cả đều âm tính, khẳng định đã loại bỏ sạch tế bào ác tính.
- Thì tái tạo và phục hồi (Phẫu thuật tạo hình):
Sau khi cắt bỏ u, bệnh nhân đối mặt với khuyết hổng lớn cả về xương và phần mềm. Các bác sĩ đã thực hiện kỹ thuật cao:
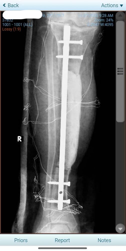
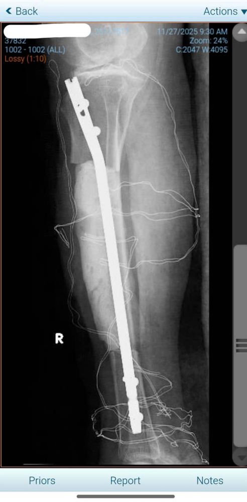
--Xử lý xương: Đóng đinh nội tủy để cố định trục chi, kết hợp đắp Cement spacer (xi-măng kháng sinh) vào phần khuyết xương để giữ trục và ngăn ngừa nhiễm trùng.
-- Che phủ phần mềm: Sử dụng vạt da đùi trước ngoài (Vạt ALT) được lấy từ chân trái (chân lành) của bệnh nhân để che phủ toàn bộ khuyết hổng lớn ở cẳng chân phải.
Kết quả: Sau 7 ngày hậu phẫu, vạt da hồng hào, tưới máu tốt, vết mổ khô. Bệnh nhân ổn định và đang được tiếp tục theo dõi, tập phục hồi chức năng.
Ca mổ là minh chứng cho trình độ chuyên môn cao trong việc kết hợp giữa phẫu thuật ung thư học, chấn thương chỉnh hình và vi phẫu thuật tạo hình, mang lại hy vọng bảo tồn chi thể cho người bệnh lớn tuổi

Hình 1: Ảnh tổn thương lâm sàng trước mổ

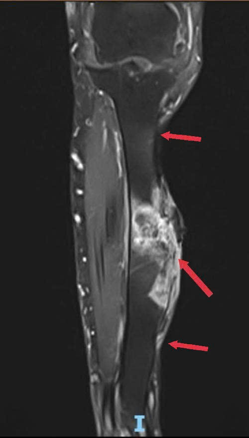
Hình 2: Diện xương chày xâm lấn trên MRI (hình ảnh tang giảm tín hiệu), 2 mũi tên ở trên và dưới là ranh giới phần xương được cắt bỏ trong phẫu thuật

Hình 3: Phần tổn thương ung thư xâm lấn gần như toàn bộ chu vi xương chày về mặt cắt ngang, nhưng chưa xâm lấn bó mạch chày trước (phần khoanh tròn đỏ)

Hình 4: Phần khuyết hỗng phần mềm và xương sau khi cắt bỏ tổn thương nguyên khối bao gồm xương và mô mềm; lấy 6 mẫu xung quanh để làm sinh thiết lạnh bao gồm: 1, 2, 3, 4: rìa cắt ở trên, dưới, trong, ngoài khối tổn thương; 5, 6 tương đương với bao ngoài bó mạch chày trước và chày sau

Hình 5: Phần xương chày còn lại được giữ trục bằng đinh nội tủy

Hình 6: Vạt vi phẫu được lấy từ phần đùi bên chân lành. Trên hình là vạt vi phẫu với bó mạch nhánh xuyên của động mạch mũ đùi ngoài cung cấp (Lateral circumflex femoral artery - LCFA)

Hình 7: Vạt vi phẫu đã được nối vào bó mạch chày trước, che phủ khuyết hỗng phần mềm (1). Phần cement spacer bên ngoài che phủ khuyết hỗng phần xương chày bị cắt bỏ (2)

Hình 9: Hình ảnh vạt da ALT đã che phủ, chân được cố định.
Hậu phẫu ngày thứ 5: vạt hồng, ấm, thời gian hồi lưu máu <2s. Tiếp tục quá trình theo dõi và chăm sóc hậu phẫu cho bệnh nhân.





Hình ảnh sau ca mổ


