1. Định nghĩa
Xuất huyết dưới nhện (SAH) là tình trạng máu tràn vào khoang dưới nhện (subarachnoid space) – khu vực giữa màng nhện và màng mềm bao quanh não. Đây là một dạng chảy máu nội sọ ngoài trục có thể xảy ra do:
Vỡ phình mạch não (spontaneous SAH ~ 85%)
Chấn thương sọ não (traumatic SAH – tSAH) do lực tác động làm rách các mạch máu bề mặt não hoặc vùng gần màng nhện.
Trong bối cảnh chấn thương, tSAH là biến chứng thường gặp của TBI (traumatic brain injury) và liên quan tới tăng tỷ lệ biến chứng thần kinh, giảm phục hồi chức năng và tăng nguy cơ tử vong.

Hình 1. Xuất huyết dưới nhện sau chấn thương sọ não
2. Cơ chế và nguyên nhân
Cơ chế bệnh sinh
- Chấn thương cơ học trực tiếp làm rách các mạch máu trên bề mặt não hoặc tắc mạch gây rò máu vào khoang dưới nhện.
- Gia tốc xoay/ lực cắt trong va đập mạnh ảnh hưởng tới mạch máu nhỏ màng nhện.
- Máu trong khoang dưới nhện gây kích ứng màng não, tăng áp lực nội sọ (ICP), rối loạn tưới máu vùng não và dẫn tới tổn thương thứ phát như co thắt mạch não hoặc thiếu oxy.
Nguyên nhân thường gặp
- Tai nạn giao thông (đặc biệt xe máy).
- Té ngã, chấn thương thể thao.
- Người lớn tuổi dùng thuốc chống đông/kháng kết tập tiểu cầu nguy cơ nặng hơn.

Hình 2. Cơ chế bệnh sinh tSAH với máu đi vào trong khoang dưới nhện và gây kích ứng màng não
3. Triệu chứng lâm sàng — nhận biết sớm
Các biểu hiện có thể nhẹ, dễ bị bỏ sót nếu chỉ dựa vào triệu chứng cơ năng:
Triệu chứng thường gặp:
- Đau đầu dữ dội sau chấn thương, có khi khởi phát nhẹ nhưng dai dẳng.
- Buồn nôn, nôn, nhạy cảm ánh sáng.
- Rối loạn ý thức thoáng qua: lú lẫn, ngủ gà.
- Cứng gáy, thay đổi thị lực, co giật ở tình trạng nặng.
Lưu ý: Ở tSAH mức độ nhẹ, bệnh nhân có thể chỉ có đau đầu và rối loạn tinh thần thoáng qua nhưng vẫn có tổn thương đáng kể.
???? Khuyến cáo: Bất kỳ đau đầu dữ dội hoặc triệu chứng thần kinh sau chấn thương đầu đều cần được đánh giá y tế và chụp CT sọ não sớm.
4. Chẩn đoán
Chẩn đoán hình ảnh
- CT scan não không cản quang: Là bước đầu tiên, có độ nhạy cao trong 6–12 giờ đầu sau khởi phát. Phát hiện máu trong khoang dưới nhện và xác định mức độ lan rộng.
- MRI não: Hữu ích khi CT chưa rõ ràng hoặc giai đoạn muộn. Đánh giá tổn thương thứ phát như thiếu máu cục bộ hoặc tổn thương mạch.
- Chọc dò dịch não tủy: Được dùng khi hình ảnh chưa chẩn đoán rõ và khoảng thời gian từ khởi phát >12 giờ; tìm xanthochromia. CHỐNG CHỈ ĐỊNH nếu nghi ngờ tăng áp lực nội sọ cao do nguy cơ thoát vị não.
- CTA/DSA (chụp mạch não cản quang/DSA): Dùng khi nghi ngờ phình mạch phối hợp hoặc tổn thương mạch cần can thiệp.

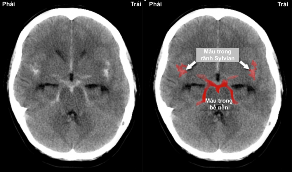
Hình 3. Hình ảnh cắt lớp vi tính sọ não sau chấn thương với xuất huyết dưới nhện trng rãnh Sylvian và bể nền (màu đỏ)
Đánh giá mức độ thần kinh
- Theo thang Glasgow Coma Scale (GCS), dấu hiệu thần kinh khu trú, đồng tử.
- Theo dõi diễn biến lâm sàng liên tục trong 24–72 giờ đầu.
5. Điều trị và theo dõi
Hồi sức ban đầu
- Nhập khoa Cấp cứu/Hồi sức tích cực.
- Kiểm soát huyết áp, hô hấp, giảm đau, chống nôn, chăm sóc áp lực nội sọ.
- Theo dõi diễn biến thần kinh định kỳ.
Điều trị cụ thể
- Điều trị bảo tồn: Hồi sức tích cực, giảm phù não (mannitol/hypertonic saline khi cần), phòng co giật, điều hòa huyết áp.
- Trường hợp có tổn thương mạch máu kèm theo:
Nếu phát hiện phình mạch hoặc dị dạng mạch não phối hợp: can thiệp nội mạch hoặc phẫu thuật thần kinh khi thích hợp.
Lập kế hoạch dự phòng co thắt mạch não trong các ngày sau chấn thương.
Theo dõi biến chứng
Co thắt mạch não (vasospasm): Xuất hiện từ ngày thứ 3 đến ngày 21 sau chấn thương, gây thiếu máu não thứ phát.
Chảy máu thứ phát: thường xảy ra trong 24 giờ đầu
Giãn não thất thứ phát: do máu làm tắc nghẽn sự lưu thông của dịch não tuỷ, gây tăng áp lực nội sọ, cần đánh giá dẫn lưu.
Rối loạn điện giải, rối loạn nội tiết.
6. Tầm quan trọng của chẩn đoán sớm và biến chứng
Traumatic SAH là một yếu tố tiên lượng xấu trong chấn thương sọ não, liên quan tới tăng nguy cơ tiến triển thần kinh và biến chứng thứ phát nếu không phát hiện, theo dõi đúng phương pháp.
Các biến chứng như vasospasm, hydrocephalus, rối loạn huyết động có thể dẫn tới tổn thương não không hồi phục hoặc tử vong nếu trì hoãn can thiệp.
7. Phòng ngừa và khuyến cáo
Đội mũ bảo hiểm đúng chuẩn, thắt dây an toàn, giảm nguy cơ TBI.
Đánh giá y tế ngay khi có chấn thương đầu, kể cả triệu chứng nhẹ.
Đối với người cao tuổi, người dùng thuốc chống đông hoặc bệnh mạch máu não: tăng mức cảnh giác với mọi triệu chứng sau chấn thương.
8. Thông điệp chính
Xuất huyết dưới nhện sau chấn thương sọ não là biến chứng nghiêm trọng, có thể bị bỏ sót nếu chỉ dựa vào triệu chứng lâm sàng nhẹ. Chẩn đoán sớm bằng CT/MRI, theo dõi sát và xử trí toàn diện biến chứng là yếu tố quyết định tiên lượng tốt, giảm nguy cơ tàn phế và tử vong.
- Bs Đinh Thị Phương Hoài – Khoa ngoại thần kinh-cột sống, BV Đại học y dược Huế -
Thông tin liên hệ
Khoa Ngoại Thần Kinh – Cột sống - Bệnh viện Trường Đại học Y Dược Huế
- Điện thoại: Phòng Cấp cứu - 0234 3837777
- Địa chỉ: 41-51 Nguyễn Huệ, TP. Huế
-Website: www.bvydhue.vn
Đinh Thị Phương Hoài, Nguyễn Xuân Long, Đặng Ngọc Vũ, Nguyễn Hoàng Huy, Lê Trọng Hiếu, Trần Đức Hoàng, Nguyễn Vĩnh Lạc, Nguyễn Thanh Minh

