Đinh Thị Phương Hoài, Trần Đăng Tòng, Trần Bình Trọng, Trần Quang Ngọc, Lê Trọng Hiếu, Trần Đức Hoàng, Nguyễn Vĩnh Lạc, Nguyễn Thanh Minh

Hình 1. Hình ảnh giãn não thất trên cộng hưởng từ, phẫu thuật dẫn lưu nãp thất ổ bụng (VP shunt) và các yếu tố nguy cơ phẫu thuật
1. Giới thiệu
Long-standing Overt Ventriculomegaly in Adults (LOVA) là một dạng não úng thủy mạn tính tiến triển, có đặc điểm giãn não thất từ lâu nhưng biểu hiện triệu chứng muộn ở tuổi trẻ hoặc trưởng thành.
Bệnh thường có cơ chế:
- Tắc nghẽn dòng dịch não tủy mức độ nhẹ từ thời thơ ấu
- Giai đoạn bù trừ kéo dài nhiều năm
- Sau đó mất bù → xuất hiện triệu chứng
LOVA ngày càng được nhận diện như một thực thể riêng biệt, khác biệt với não úng thủy áp lực bình thường (iNPH) và hẹp cống não muộn (LIAS), với biểu hiện lâm sàng đặc trưng bao gồm rối loạn đi lại (100% bệnh nhân trong một nghiên cứu), són tiểu (74.2%), và suy giảm nhận thức (71%). Triệu chứng thường xuất hiện sau một giai đoạn bù trừ kéo dài nhiều năm, phù hợp với ca bệnh này.
2. Trường hợp lâm sàng
Bệnh nhân nam 24 tuổi nhập viện vì đau đầu và chóng mặt kéo dài. Triệu chứng xuất hiện tăng dần sau một tai nạn giao thông khoảng 3 tháng trước, lúc đó bệnh nhân được chụp CT scan và tình cờ phát hiện giãn toàn bộ hệ thống não thất nhưng không điều trị gì. Khám lâm sàng, bệnh nhân chỉ đau đầu âm ỉ, tăng khi thay đổi tư thế, không có dấu hiệu thần kinh khu trú, không rối loạn tri giác; Glasgow 15 điểm, không yếu liệt, không rối loạn thị giác hay vận nhãn, không hội chứng tăng áp lực nội sọ rõ ràng. Bệnh nhân dược chỉ định phẫu thuật dẫn lưu não thất ổ bụng (VP shunt), sau phẫu thuật tình trạng đau đầu và chóng mặt giảm dần, không ghi nhận biến chứng sau phẫu thuật, bệnh nhân ra viện sau 7 ngày.
3. Vai trò của MRI trong chẩn đoán
MRI là công cụ chẩn đoán then chốt cho giãn não thất, đặc biệt ở người trẻ tuổi. MRI vượt trội hơn CT trong việc phát hiện các tổn thương tắc nghẽn nhỏ và đánh giá chính xác các thay đổi giải phẫu. MRI đặc trưng với LOVA bao gồm:
- Giãn não thất bên và não thất III (triventriculomegaly) trong khi não thất IV thường bình thường, gợi ý tắc nghẽn phía trên.
- Hẹp cống não được phát hiện ở 64.5% bệnh nhân LOVA.
- Biến dạng sàn yên (expanded/destroyed sella turcica) ở 71% bệnh nhân.
- Giảm khoảng cách mammillopontine - trung bình 7.5mm ở não úng thủy so với 11.5mm ở người bình thường.
MRI giúp xác định LOVA là một dạng giãn não thất mạn tính có nguồn gốc từ rối loạn lưu thông CSF kéo dài.
Evans Index (EI) là chỉ số được tính bằng tỷ lệ giữa chiều rộng tối đa của sừng trước não thất và đường kính tối đa của hộp sọ ở cùng mức độ. Tuy nhiên, cần lưu ý:
- Ngưỡng truyền thống EI > 0.3 cần được điều chỉnh theo tuổi và giới tính.
- Ở người cao tuổi (>70 tuổi), 20-29% có EI > 0.3 mà không có triệu chứng.
- Ở người trẻ, EI = 0.48 như trường hợp này cho thấy giãn não thất rõ rệt
EI có hạn chế: tương quan với thể tích não thất không hoàn hảo (khoảng tin cậy dự đoán rộng ± 45 mL), và giá trị có thể thay đổi tùy thuộc vào mặt phẳng đo.

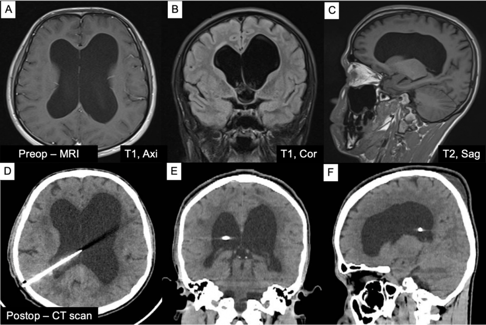
Hình 2. Hình ảnh cộng hưởng từ giãn não thất trên mặt phẳng cắt ngang, đứng ngang, đứng dọc (A-C) và hình ảnh cắt lớp vi tính 1 ngày sau phẫu thuật dẫn lưu não thất ổ bụng (VP shunt), shunt đúng vị trí trên các mặt phẳng (D-F)
4. Điều trị giãn não thất: Khi nào cần VP shunt?
- Không phải mọi giãn não thất đều cần shunt. Chỉ định dựa trên:
+ Có triệu chứng (đau đầu, rối loạn đi lại, nhận thức…)
+ Có bằng chứng giãn não thất tiến triển
+ Ảnh hưởng chất lượng cuộc sống
Trong LOVA:
+ Phẫu thuật là phương pháp điều trị chính
+ Bao gồm: Nội soi mở sàn não thất III (ETV) và VP shunt
Các nghiên cứu cho thấy:
- >80% bệnh nhân cải thiện sau phẫu thuật.
- VP shunt và ETV đều có tỷ lệ thành công tương đương (81.8% vs 86.7%), VP shunt thường được sử dụng khi:
+ Có triệu chứng lâm sàng (đau đầu, rối loạn đi lại, suy giảm nhận thức)
+ Bằng chứng giãn não thất tiến triển trên hình ảnh học
+ Ảnh hưởng chất lượng cuộc sống
+ ETV không phù hợp hoặc thất bại
- Vai trò của VP shunt trong thực hành hiện đại
Ventriculo-Peritoneal (VP) shunt là phương pháp phổ biến hiện nay: Dẫn lưu dịch não tủy từ não thất xuống ổ bụng; Giảm áp lực nội sọ; Cải thiện triệu chứng rõ rệt.
Chỉ định phù hợp trong ca lâm sàng: Bệnh nhân có triệu chứng kéo dài (đau đầu, chóng mặt), EI cao (0.48), và tuổi trẻ (24 tuổi).

Hình 3. Hình ảnh phẫu thuật dẫn lưu não thất ổ bụng (VP shunt) trong mổ
5. Bàn luận từ ca lâm sàng
Ca bệnh cho thấy các đặc điểm điển hình của LOVA:
- Giãn não thất phát hiện tình cờ trước đó
- Triệu chứng xuất hiện muộn sau một yếu tố kích hoạt (chấn thương)
- Lâm sàng kín đáo, không có tăng áp lực nội sọ rõ
Điều này phù hợp với giả thuyết:
- LOVA có giai đoạn “ngủ yên” kéo dài
- Sau đó mất bù → biểu hiện lâm sàng.
Phẫu thuật VP shunt mang lại:
- Cải thiện triệu chứng rõ
- Hồi phục nhanh
- Không biến chứng
6. Thông điệp lâm sàng
- Giãn não thất ở người trẻ không phải lúc nào cũng là tình trạng lành tính. MRI đóng vai trò quyết định trong: chẩn đoán, phân loại, lập kế hoạch điều trị. LOVA cần được nhận diện sớm để tránh bỏ sót điều trị. VP shunt là phương pháp hiệu quả trong các trường hợp có triệu chứng. Can thiệp đúng thời điểm giúp cải thiện rõ rệt chất lượng cuộc sống
------
Thông tin liên hệ
Khoa Ngoại Thần Kinh - Bệnh viện Trường Đại học Y Dược Huế
- Điện thoại: Phòng Cấp cứu - 0234 3837777
- Địa chỉ: 41-51 Nguyễn Huệ, TP. Huế
-Website: www.bvydhue.vn


