Hoàng Phước Minh*, Lê Viết Nhật Hưng, Thân Thị Ngân, Nguyễn Thị Thảo Giang
Chảy nước mắt do tắc ống lệ mũi chiếm khoảng một phần ba các trường hợp chảy nước mắt. Các biến chứng thường gặp bao gồm: u nhầy túi lệ, rò lệ đạo, áp-xe, viêm tổ chức hốc mắt và huyết khối xoang hang.
Phẫu thuật mở thông túi lệ mũi nhằm tạo đường dẫn lưu trực tiếp từ túi lệ sang khoang mũi, giúp dẫn nước mắt từ mắt xuống mũi. Trong đó, phương pháp tiếp cận qua đường mũi ngày càng được ưa chuộng do khắc phục được hạn chế của đường ngoài: ít mất máu, không để lại sẹo và rút ngắn thời gian phẫu thuật.
Vừa qua Khoa Tai Mũi Họng - Mắt - Răng Hàm Mặt, Bệnh viện Đại học Y Dược Huế gồm ekip Tiến sĩ Hoàng Phước Minh và Tiến sĩ Lê Viết Nhật Hưng và các bác sĩ của khoa, đã tiến hành phẫu thuật nội soi mở thông túi lệ mũi không đặt stent cho một bệnh nhân bị tắc ống lệ mũi, biểu hiện chảy nước mắt nhiều gây khó chịu trong sinh hoạt, được chẩn đoán qua nghiệm pháp bơm rửa lệ đạo.
Sau khi thăm khám, ê-kíp phẫu thuật lựa chọn phương pháp nội soi mở thông túi lệ mũi không đặt stent. Đây là kỹ thuật còn mới và ít được áp dụng tại Việt Nam, với ưu điểm: thời gian phẫu thuật ngắn, không phát sinh biến chứng liên quan đến stent, tránh rắc rối cho bệnh nhân khi tháo stent, đồng thời giúp tiết kiệm chi phí đáng kể do giá thành stent cao. Bệnh nhân chỉ nằm viện 1 ngày duy nhất.

Hình 1. Các bước tiến hành phẫu thuật mở thông túi lệ mũi. a, Lật vạt niêm mạc thành bên mũi; b, Bộc lộ ống lệ mũi bằng Kerrison; c, Khoan bộc lộ túi lệ mũi và tế bào Ager nasi; d, Lấy bỏ các thành ống xương quanh túi và ống lệ mũi; e, Rạch túi lệ theo định hướng que thăm dò; f, Mở rộng túi lệ mũi và ống lệ mũi
Sau phẫu thuật, tình trạng chảy nước mắt của bệnh nhân cải thiện rõ rệt. Khi bơm rửa lệ đạo, nước chảy xuống họng, không trào ra ở lỗ lệ trên và dưới, không xuất hiện nghẹt mũi. Hai hốc mũi được làm sạch và chăm sóc sau phẫu thuật thuận lợi.
Kết quả sau phẫu thuật một tháng, bệnh nhân không còn xuất hiện tình trạng chảy nước mắt nhiều, không nghẹt mũi, hai hốc mũi thông thoáng

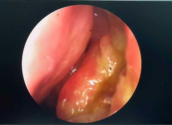
Hình 2. Hình ảnh túi lệ mũi được mở sau một tháng.
Khoa Tai Mũi Họng - Mắt - Răng Hàm Mặt, Bệnh viện Đại học Y Dược Huế là một trong những đơn vị tiên phong áp dụng các kỹ thuật hiện đại, ít xâm lấn, nhằm hạn chế biến chứng và chi phí cho bệnh nhân. Với phương châm “lấy bệnh nhân làm trung tâm”, đội ngũ bác sĩ luôn nỗ lực tìm tòi và ứng dụng những phương pháp phẫu thuật mới, mang lại hiệu quả điều trị tối ưu đi đầu tại địa phương và khu vực Miền Trung Tây Nguyên.
*Mọi chi tiết xin liên hệ:
Tiến sĩ Hoàng Phước Minh
Email: minhphuochoang@gmail.com
Tài liệu tham khảo
- Maldhure, S. V., et al. (2023). Endonasal Dacryocystorhinostomy: Results With or Without Stenting. Cureus, 15(1): e33470.


