Đinh Thị Phương Hoài, Nguyễn Thị Mỹ Nhung, Nguyễn Vĩnh Lạc, Trần Đức Hoàng, Lê Trọng Hiếu, Nguyễn Thanh Minh
1. Tổng quan về u màng não
U màng não (meningioma) là loại u nội sọ nguyên phát phổ biến nhất, chiếm khoảng 35–40% các khối u của hệ thần kinh trung ương. Phần lớn là u lành tính, phát triển chậm, xuất phát từ tế bào màng nhện (arachnoid cap cells) của màng não cứng. Theo phân loại WHO 2021, meningioma được chia thành 3 độ:
Độ I (lành tính): chiếm khoảng 80%, tiến triển chậm, tiên lượng tốt.
Độ II (không điển hình): khoảng 15–20%, có nguy cơ tái phát cao hơn.
Độ III (ác tính): dưới 3%, xâm lấn mạnh và thường tái phát sớm.
Một dạng đặc biệt là u màng não khổng lồ (giant meningioma) – có kích thước >5 cm – hiếm gặp nhưng gây áp lực khối lớn, phù não rộng và rối loạn chức năng thần kinh đáng kể.

Hình 1. Tái tạo hình ảnh 3D khối u não vùng trán thái dương phải (A, B) với cấu trúc xương, mạch máu xung quanh, đồng thời xác định vị trí u bám trên bề mặt xương vùng thái dương phải và dựa vào mặt cắt mô phỏng để dự đoán vị trí u, các mạch máu nuôi u để lên kế hoạch phẫu thuật (C-F)
2. Chẩn đoán và hình ảnh học hiện đại
Việc chẩn đoán u màng não hiện nay dựa vào sự kết hợp giữa lâm sàng, hình ảnh học và giải phẫu bệnh.
a. Triệu chứng lâm sàng
Tùy vị trí u, bệnh nhân có thể gặp:
Co giật (đặc biệt u vùng trán, đỉnh)
Yếu liệt, thay đổi hành vi, giảm trí nhớ
Đau đầu, buồn nôn, giảm thị lực nếu u gây tăng áp lực nội sọ
b. Chẩn đoán hình ảnh
CT sọ não: giúp đánh giá vị trí, kích thước, vôi hóa và ảnh hưởng xương.
MRI não có tiêm thuốc: là tiêu chuẩn vàng trong chẩn đoán và lập kế hoạch phẫu thuật, cho phép đánh giá rõ ranh giới u – nhu mô, mức độ xâm lấn, phù não và mối liên hệ với xoang tĩnh mạch.
CTA (CT angiography) hoặc DSA (Digital Subtraction Angiography): dùng trong các trường hợp u lớn, tăng tưới máu, giúp xác định nguồn cấp máu nuôi u, hỗ trợ tắc mạch trước mổ nếu cần.
Tái tạo 3D (Three-dimensional reconstruction): công cụ hiện đại giúp phẫu thuật viên mô phỏng không gian giải phẫu giữa khối u – hộp sọ – mạch máu, lựa chọn đường mổ và bản xương tối ưu.
Tại Bệnh viện Trường Đại học Y Dược Huế, kỹ thuật tái tạo 3D bằng phần mềm Horos đã được ứng dụng thường quy, mang lại hiệu quả rõ rệt trong lập kế hoạch phẫu thuật u lớn và u nền sọ giúp phẫu thuật viên có thể lập kế hoạch mổ chính xác, giảm biến chứng và tối ưu hóa kết quả điều trị.
.jpg)
Hình 2. Hình ảnh khối u 3D sau khi tái tạo dựa trên phần mềm Horos (A), xác định vị trí mở xương dựa trên mô phỏng trên mặt phẳng axial, sagittal (B-C), và trên bệnh nhân (D), và đặt tư thế nằmg ngửa, nghiên trái 30 độ kê vai trước mổ (E).
3. Ca lâm sàng
Bệnh nhân nữ 53 tuổi, nhập viện vì yếu nửa người trái và co giật tái diễn.
CT sọ não cho thấy khối choán chỗ vùng thùy trán phải, kích thước 71×50×50 mm, gây phù não lan tỏa và lệch đường giữa 13 mm. Chụp CTA xác định nguồn cấp máu từ nhánh động mạch não giữa phải, các tĩnh mạch vỏ não và xoang dọc trên vẫn lưu thông. Dữ liệu CTA được xử lý bằng phần mềm tái tạo 3D (Horos) giúp xác định mối tương quan giữa khối u, hộp sọ và mạch máu, hỗ trợ lựa chọn vị trí mở sọ tối ưu.
Bệnh nhân được phẫu thuật vi phẫu (Simpson II) – kiểm soát mạch máu nuôi u, giảm khối trung tâm và bóc tách u triệt để theo mặt phẳng màng nhện.
Sau mổ, bệnh nhân tỉnh táo, yếu nhẹ thoáng qua nửa người trái, hồi phục hoàn toàn sau hai tuần. CT kiểm tra xác nhận lấy trọn khối u, đường giữa trở lại bình thường. Giải phẫu bệnh: Meningioma độ I (WHO).
.jpg)
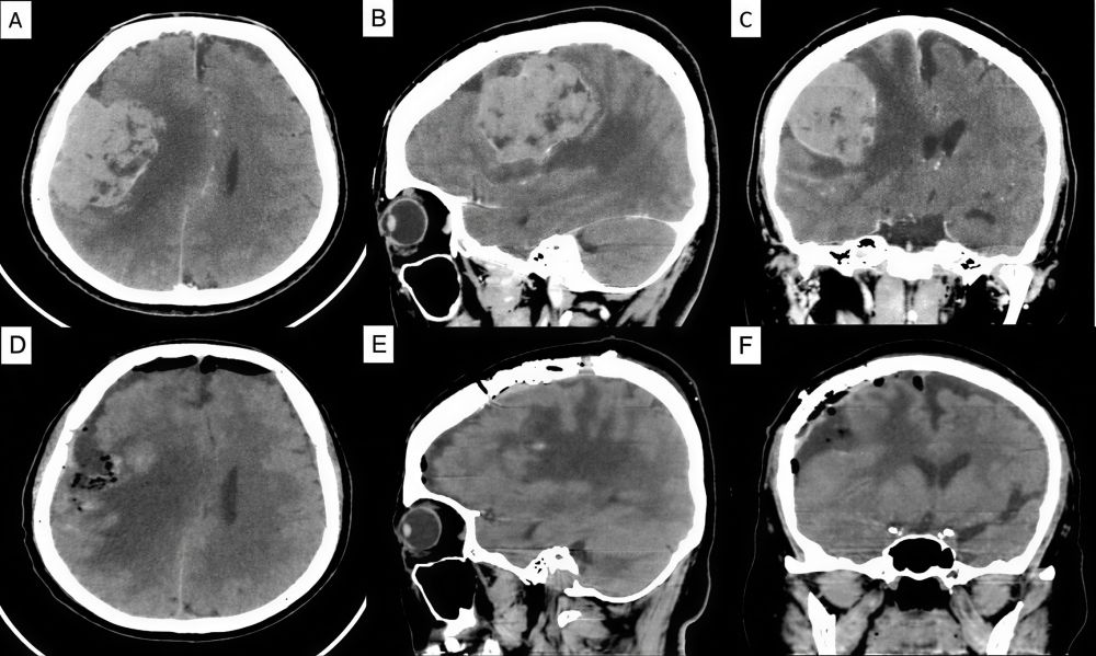
Hình 3. Hình ảnh cắt lớp vi tính sọ não ở các mặt phẳng trước phẫu thuật, với khối u vùng trán-thái dương-đỉnh phải kích thước 7,5x5x5 cm gây hội chứng khối đè đẩy đường giữa sang phải, và hình ảnh cắt lớp vi tính sọ não ở các mặt phẳng axial, sagittal và coronal (D-F) sau phẫu thuật với khối u đã được loại bỏ hoàn toàn.
4. Bàn luận và cập nhật
Theo các nghiên cứu gần đây (Narayan et al., 2018; Huang et al., 2019; Zhao et al., 2025), hình ảnh học đa phương thức giữ vai trò trung tâm trong xử trí u màng não khổng lồ: CT giúp xác định vị trí, kích thước, ảnh hưởng khối. CTA cho phép đánh giá mạch máu nuôi u và xoang tĩnh mạch, hỗ trợ chiến lược kiểm soát chảy máu. Tái tạo 3D giúp mô phỏng mối liên quan giữa u – xương – mạch máu, từ đó lập kế hoạch mổ cá thể hóa, giảm xâm lấn và tăng độ an toàn.
Việc kiểm soát mạch máu sớm, bóc tách theo mặt phẳng màng nhện và bảo tồn tĩnh mạch vỏ não là nguyên tắc quan trọng giúp giảm chảy máu và di chứng sau mổ. Kết quả điều trị trong ca này phù hợp với các báo cáo quốc tế, chứng minh hiệu quả của việc ứng dụng công nghệ hình ảnh hiện đại trong ngoại thần kinh, giúp phẫu thuật viên đạt mức Simpson I–II, giảm tái phát và cải thiện tiên lượng lâu dài.
5. Kết luận
Trường hợp này là minh chứng điển hình cho thấy hình ảnh học đa phương thức (CT, CTA, tái tạo 3D) không chỉ giúp chẩn đoán chính xác mà còn là “bản đồ phẫu thuật” hỗ trợ an toàn, hiệu quả trong điều trị u màng não khổng lồ.
Việc ứng dụng công nghệ số và phần mềm xử lý hình ảnh tại Bệnh viện Trường Đại học Y Dược Huế đang mở ra hướng đi mới trong phẫu thuật thần kinh chính xác và cá thể hóa.
Thông tin liên hệ
Khoa Ngoại Thần Kinh – Cột sống, Bệnh viện Trường Đại học Y Dược Huế
- Điện thoại: Phòng Cấp cứu - 0234 3837777
- Địa chỉ: 41-51 Nguyễn Huệ, TP. Huế
-Website: www.bvydhue.v
_69771e42e3d16.png)

_694de85f68741.png)