Đinh Thị Phương Hoài, Nguyễn Thị Thu Đông, Nguyễn Anh Tuấn, Nguyễn Văn Trung,
Lê Trọng Hiếu, Trần Đức Hoàng, Nguyễn Vĩnh Lạc, Nguyễn Thanh Minh
Trong nhiều năm qua, xuất huyết não (xuất huyết nội sọ) vẫn được xem là bệnh lý thường gặp ở người lớn tuổi, đặc biệt ở những người có tăng huyết áp, đái tháo đường hay xơ vữa mạch máu. Tuy nhiên, ngày càng nhiều trường hợp người trẻ, thậm chí ở độ tuổi 20–40, phải nhập viện vì xuất huyết não, đặt ra hồi chuông cảnh báo nghiêm túc về lối sống, áp lực công việc và bệnh lý tiềm ẩn.
.jpg)
Hình 1. Xuất huyết não ở người trẻ
1. Những thói quen "vô hại" gây nguy cơ cao
Nhiều trường hợp người trẻ mắc XHN do duy trì các thói quen xấu trong thời gian dài:
• Thường xuyên thức khuya: Đây là nguyên nhân hàng đầu khiến nhiều người trẻ bất ngờ bị đột quỵ. Nhiều người cho rằng làm việc đêm với máy tính không phải là việc nặng nhọc, nhưng thực tế thói quen này gây căng thẳng cực độ cho hệ thần kinh và mạch máu.
• Làm việc cường độ cao và căng thẳng (Stress): Áp lực từ công việc và kinh tế gia đình khiến người trẻ làm việc quá sức, ít nghỉ ngơi, dẫn đến cơ thể mệt mỏi kéo dài.
• Chế độ ăn uống và sinh hoạt không lành mạnh: Ăn uống không đảm bảo dinh dưỡng, kết hợp với thời tiết thay đổi hoặc tình trạng trầm cảm có thể phát sinh bệnh lý về não.
• Sử dụng chất kích thích: Việc sử dụng rượu bia quá mức hoặc các chất gây nghiện như cocaine, amphetamine và methamphetamine có liên quan trực tiếp đến nguy cơ XHN.
• Sử dụng thuốc không kiểm soát: Ở phụ nữ trẻ, việc sử dụng thuốc tránh thai có chứa estrogen cũng có thể gây nguy cơ do liên quan đến huyết khối tĩnh mạch nội sọ dẫn đến XHN.
2. Triệu chứng cảnh báo sớm
Người trẻ thường chủ quan với các dấu hiệu ban đầu, khiến việc cấp cứu bị chậm trễ. Những biểu hiện cần đi khám ngay khi xuất hiện gồm:
Đau đầu dữ dội, đột ngột “như búa bổ”
Buồn nôn, nôn ói, yếu hoặc tê nửa người.
Nói khó, méo miệng, nhìn mờ hoặc mất ý thức thoáng qua.
Co giật, hoặc thay đổi hành vi đột ngột.
Việc chụp CT scan hoặc MRI não là phương tiện nhanh nhất để xác định chẩn đoán và vị trí xuất huyết.
.png)
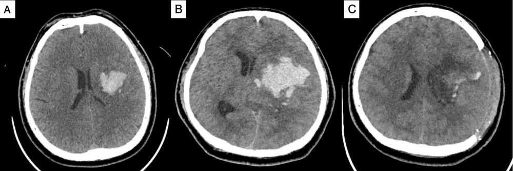
Hình 2. CT scan sọ não của bệnh nhân nam 35 tuổi với xuất huyết trong não vùng đồi thị bao trái trong giờ thứ 1 sau đột quỵ (A), tiến triển xuất huyết giờ thứ 3 gây tăng áp lực nội sọ, đẩy lệch đường giữa sang phải (B). Bệnh nhân được tiến hành phẫu thuật mở sọ giải áp, lấy máu tụ tiêu chuẩn (C).
3. Cập nhật điều trị hiện nay
Tùy nguyên nhân và vị trí chảy máu, hướng điều trị bao gồm:
3.1. Điều trị nội khoa tích cực:
Kiểm soát huyết áp, đường huyết, thân nhiệt, và áp lực nội sọ (ICP).
Theo dõi tại khoa hồi sức thần kinh (neuro-ICU) với máy theo dõi liên tục
3.2. Phẫu thuật hoặc can thiệp mạch:
Lấy máu tụ trong các trường hợp có khối máu lớn, chèn ép não.
Can thiệp nội mạch (embolization, coiling…) cho các dị dạng hoặc phình mạch não.
Dẫn lưu não thất (EVD) khi có giãn não thất do máu cục gây tắc lưu thông dịch não tủy.
.png)
Hình 3. Các phương pháp lấu máu tụ trong sọ hiện nay
Phục hồi chức năng sớm:
Tập vận động, ngôn ngữ trị liệu và trị liệu nhận thức giúp cải thiện tiên lượng lâu dài.
Các chương trình phục hồi hiện đại hướng đến “early mobilization” ngay trong tuần đầu sau xuất huyết.
4. Phòng ngừa – chìa khóa bảo vệ não bộ người trẻ
Để bảo vệ sức khỏe và phòng ngừa nguy cơ này, các chuyên gia khuyến cáo người trẻ cần:
Thay đổi lối sống: Đảm bảo ngủ đủ giấc, hạn chế thức khuya và làm việc quá sức.
Ăn uống lành mạnh: Duy trì chế độ dinh dưỡng cân bằng, giảm rượu bia.
Khám sức khỏe định kỳ: Để sớm phát hiện các bệnh lý như cao huyết áp hay dị dạng mạch máu não.
Duy trì trạng thái tâm lý cân bằng: Tránh căng thẳng quá mức và chú ý chăm sóc sức khỏe tâm thần.

Hình 4. Phòng ngừa với kiểm soát huyết áp mục tiêu
5. Thông điệp từ bác sĩ
“Xuất huyết não không chỉ là căn bệnh của người già. Mỗi cơn đau đầu đột ngột ở người trẻ đều cần được xem xét cẩn trọng. Việc phát hiện sớm và điều trị kịp thời có thể cứu sống và giúp bệnh nhân trở lại cuộc sống bình thường.”
- Bs Đinh Thị Phương Hoài – Khoa ngoại thần kinh-cột sống, BV Đại học y dược Huế -
Thông tin liên hệ
Khoa Ngoại Thần Kinh – Cột sống - Bệnh viện Trường Đại học Y Dược Huế
- Điện thoại: Phòng Cấp cứu - 0234 3837777
- Địa chỉ: 41-51 Nguyễn Huệ, TP. Huế
-Website: www.bvydhue.vn

_696762fab79f1.png)
